Bilateral loin pain
64yo female presented with bilateral loin pain and nausea.
By the time she was seen, her pain had settled, her obs were normal. Her bloods and urine were NAD.
EDUS revealed this bilaterally:


Interestingly, I couldn't see a dilated ureter at the pelvis. Also there was no ureteric dilatation at the VUJ and her ureteric jets were normal. Her bladder post void volume was small excluding an outlet obstruction. Aorta and retroperitoneum was NAD.
Common causes of bilateral hydronephrosis are:
1. posterior urethral valves
2. neurogenic bladder
3. bladder outlet obstruction from an enlarged prostate or bladder cancer.
4. pregnancy related
5. Retroperitoneal fibrosis
6. AAA
7. Uterine prolapse
She had none of these, so she went on to have a CT.

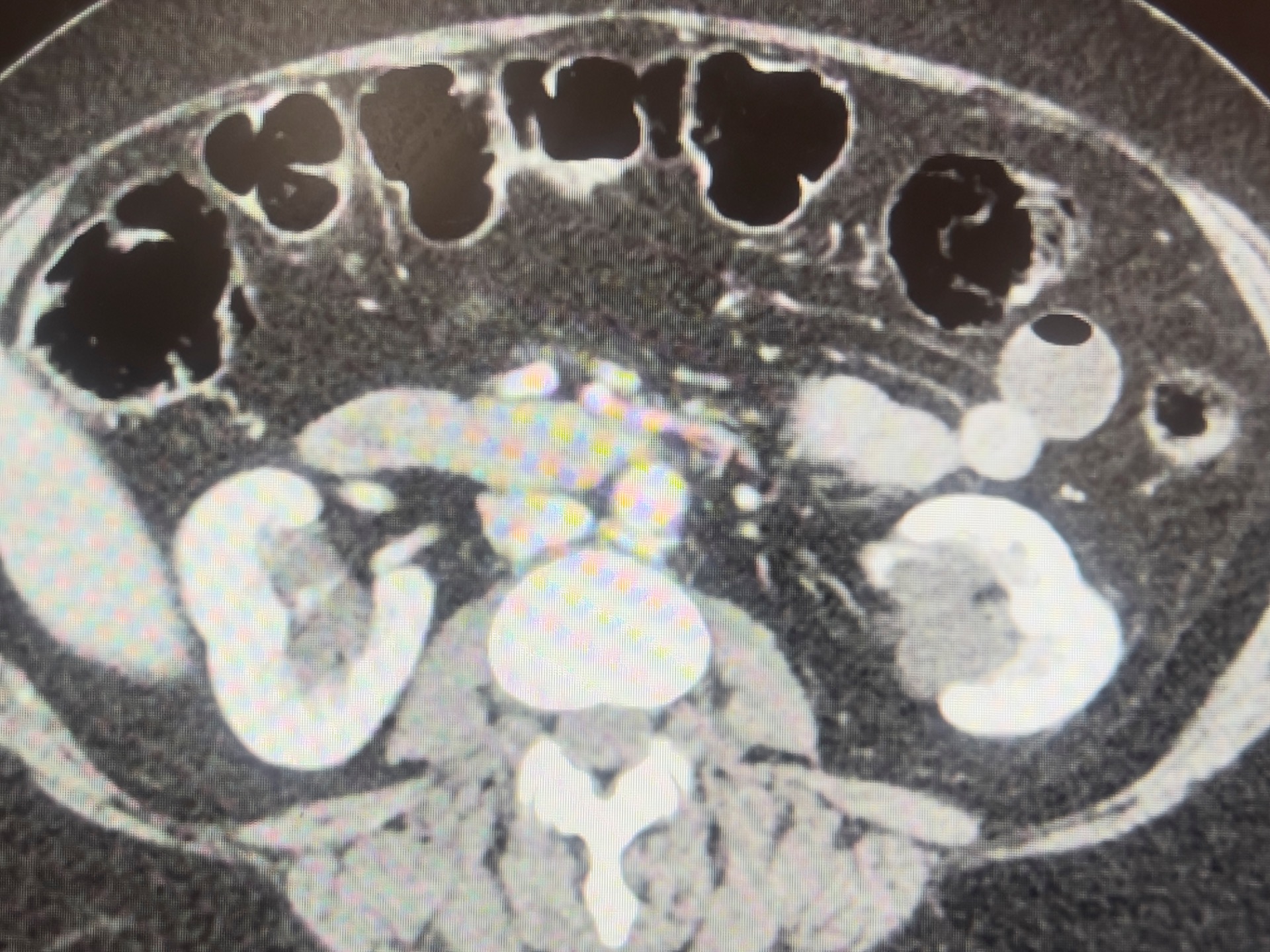
CT revealed that what appeared as hydronephrosis on US was actually bilateral parapelvic cysts.
Parapelvic cysts are benign and unrelated to ureteric obstruction. They do not communicate with the collecting system and are thought to be lymphatic in origin. However, there have been case reports of cysts causing obstructive Sx due compression of the renal pelvis (1).
However, importantly, it is one of the causes of an erroneous diagnosis of hydronephrosis on US. Important features to help you differentiate are:

If you look closely at her US images, you can see that her cortex is normal thickness bilateral despite quite significant "hydronephrosis". Also on the left, the anechoic areas seem discrete and round.
But really, sometimes it's too hard to tell at the bedside and another imaging modality like CT is required.
Other conditions which may appear like hydronephrosis on US are:
1. extrarenal pelvis
2. renal varicose veins (so always put the colour box on)
3. pregnancy related dilatation of the collecting system
For further information on hydronephrosis US click on the button below:
REFERENCES
1. Leni Santiana, Adi Maulana Samsudin, A rare case of parapelvic cyst: A case report, Radiology Case Reports, Volume 19, Issue 1, 2024,Pages 260-263,
