Injury at the wave pool
41 yo man presented with R sided abdominal pain after falling at the surf pool and landing on his abdomen with his elbow tucked under him. He had R sided abdominal pain. Nil bruising.
He was haemodynamically stable.
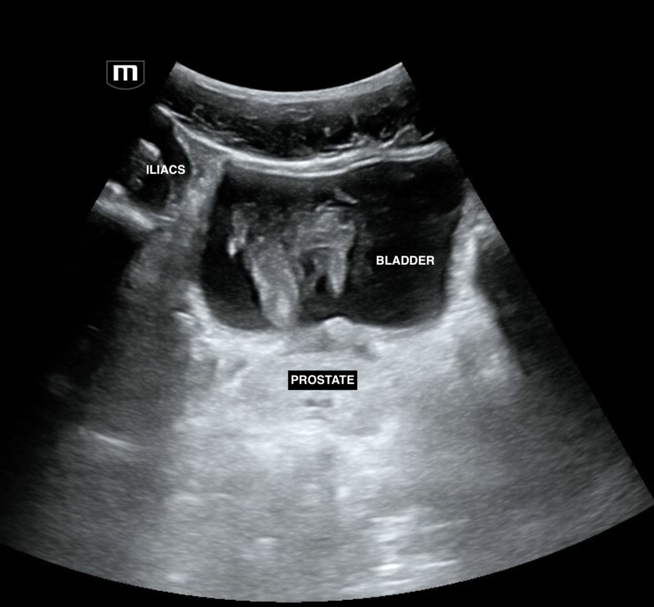
A FAST scan was done at the bedside:
pelvis trans (annotated below)


RUQ
RUQ cine loop with arrow pointing to renal laceration and disrupted superior renal outline
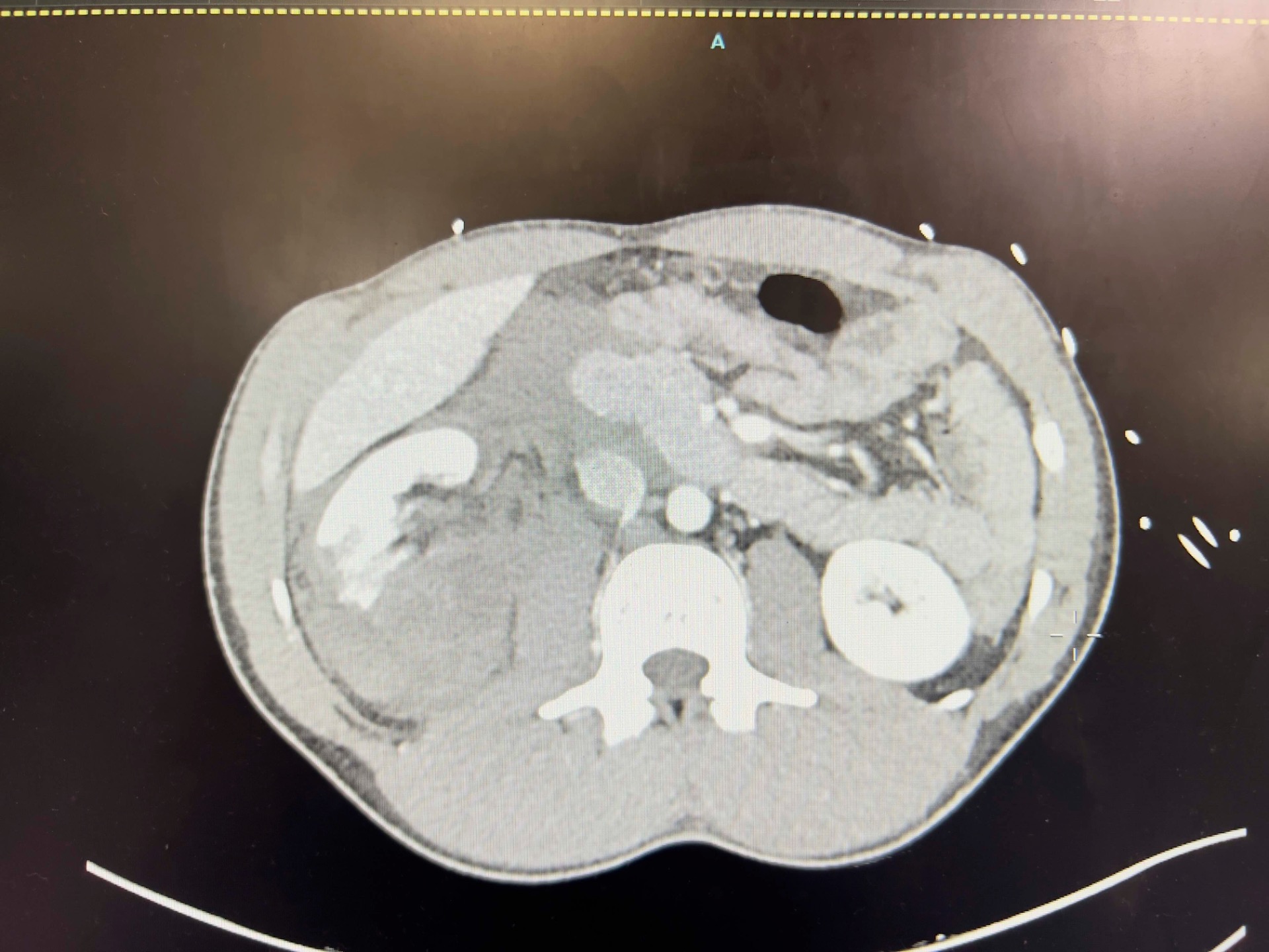
The bedside US allowed an expedited CT and trauma review. The CT request read "clot in bladder; renal pole injury"
This is his CT:

Typically in FAST teaching, we say the aim is to detect free fluid and that the location of fluid does not indicate the injured organ. But as we get better at looking at US images and knowing what normal looks like, an injured organ which doesn't look right becomes easier to pick.
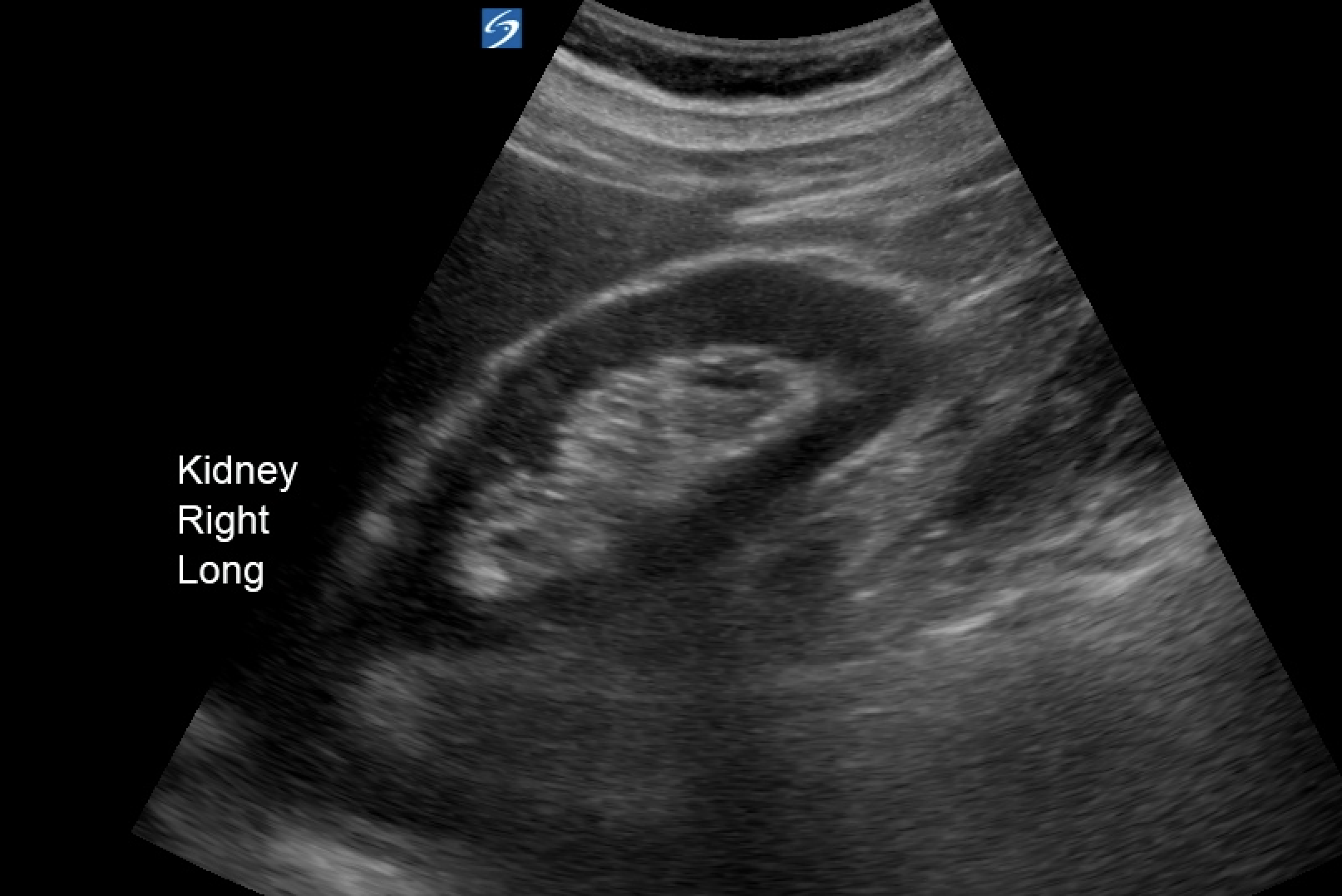
When looking at the kidney, each kidney should be 9-12cm long with a regular contour. The parenchyma typically is hypoechoic similar to normal liver. The bright white of gerota's fascia should be easily imaged.

Normal renal architecture and length

Gerota's fascia: hyperechoic line around the kidney
In the patient's scan, the upper pole of the R kidney, the parenchyma is hyperechoic and heterogenous. The upper pole is enlarged and the normally regular contour of Gerota's fascia is disrupted. It is difficult to see if there is anechoic free fluid in the cine loop. However on CT there is a fair bit of FF around the liver. This may have been visualised by imaging the paracolic gutter (location most sensitive for FF in trauma).
So don't limit your FAST scan to just looking for free fluid. Look for haematoma, disrupted organs, free air and everything in between.
Is it time to be more nuanced in our US examinations?
Click on the button below for how to get the EFAST images
