Cart
0
0.00 AUD
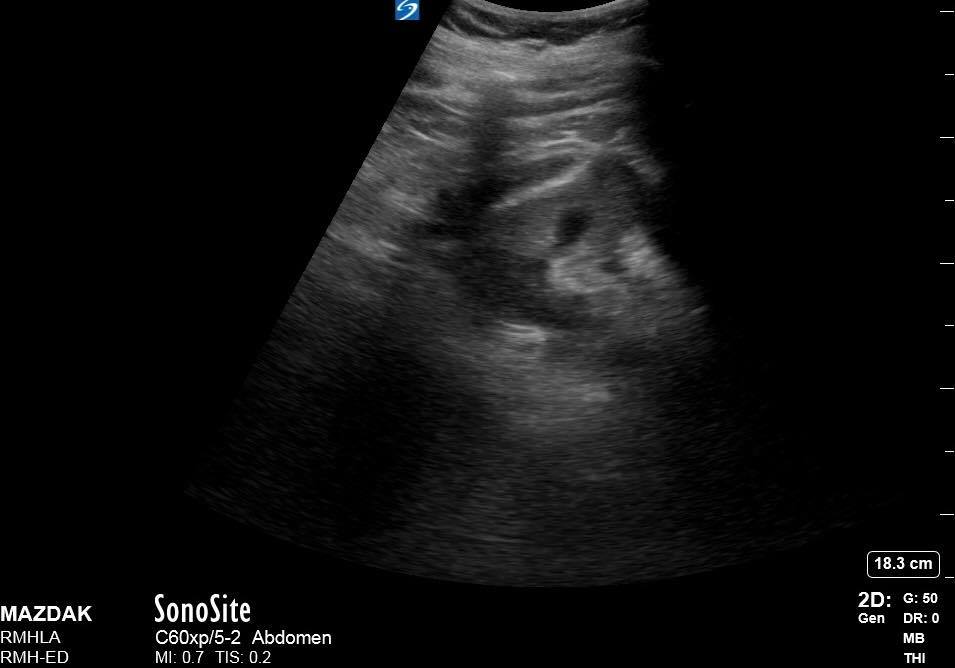
Maz saw a 65yo male in July with sudden onset. LLQ pain. Hx of HT and diverticulitis. BP101/80 HR 82.
Maz did a bedside US:




It showed a 8cm AAA
Perinephric FF on the left
CT abdo expedited, vascular called prior to CT.
Patient DC home in 1/52.
Well done Maz.
Image 1. AAA Long axis
Image 2: AAA short axis
Image 3: perinephric FF
Image 4: CT